Em caso raro, mulher de 45 anos rompe aorta após orgasmo; entenda a condição - Foto: American Journal of Case Reports
Foto: American Journal of Case Reports

Do g1

Uma mulher de 45 anos rompeu a aorta enquanto tinha relações sexuais com seu marido. O caso foi relatado da revista científica “American Journal of Case Reports”.

De acordo com a publicação, a mulher chegou à emergência com queixas de dores toráxicas. Ela contou que estava com as pernas apoiadas no peito enquanto transava com o marido e, ao atingir o orgasmo, sentiu um estalo no peito, com uma dor que irradiava para as costas.

Continua depois da publicidade

Receba as manchetes do Farol de Notícias em primeira mão pelo WhatsApp (clique aqui)

“A dor era intensa e se assemelhava a facadas, associada à falta de ar e náuseas”, detalha o relato.

Segundo os médicos que atenderam a paciente, o histórico médico incluía hipertensão, não tratada há um ano, e tabagismo há 17 anos.

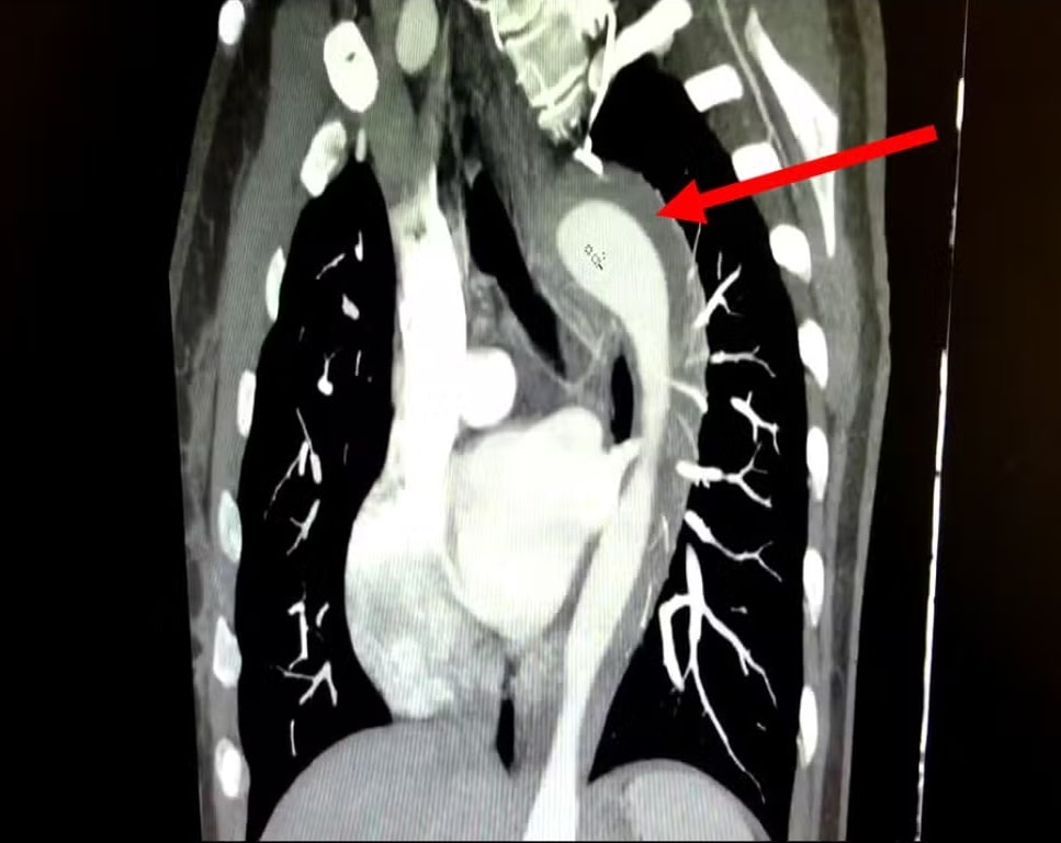
A mulher foi medicada e passou por exames que indicaram um hematoma intramural na aorta.

O hematoma intramural na aorta é uma condição grave que envolve o sangramento na parede da aorta. O quadro é considerado uma Síndrome Aórtica Aguda (SAA) e, se não tratado adequadamente, pode evoluir para aneurisma ou ruptura aórtica total, com risco de vida ao paciente.

A SAA tem alta taxa de mortalidade, aumentando cerca de 1% a cada hora sem tratamento. Estima-se que até 22% dos casos não sejam diagnosticados até o momento da morte.

Continua depois da publicidade

Os médicos avaliam que a atividade sexual é considerada um esforço físico moderado, que pode alcançar níveis de exercício quase máximos. Mas, ainda assim, a associação da atividade com aumento do risco de SAA e morte súbita é rara.

Os principais fatos de Serra Talhada e região no Farol de Notícias pelo Instagram (clique aqui)

“Nosso caso é incomum por ser uma mulher, em relação sexual consensual com o marido, mas com fatores de risco como hipertensão não tratada e tabagismo crônico”, avaliam os médicos.

O tratamento para a condição pode ser cirúrgico ou clínico, a depender da localização da lesão.

No caso relatado, a paciente foi medicada e também encaminhada para uma cirurgia cardiotorácica. A mulher teve alta após três dias.